Oxigenoterapia Hiperbarica para ayudar
con Esclerosis Múltiple

¿CON QUE PUEDE AYUDAR LA CÁMARA HIPERBÁRICA CON LOS
SÍNTOMAS DE ESCLEROSIS MULTIPLE?

brain, mind, psychology-2062048.jpg

Los beneficios de la terapia de oxígeno hiperbárico (TOHB), a presiones arriba de 2.0 ATA,en la esclerosis múltiple (EM), pueden ser:

  1. Mejora de la función neurológica: La TOHB se cree que aumenta la oxigenación de los tejidos y el cerebro, lo que puede ayudar a mejorar la función neurológica en personas con EM.

  2. Reducción de la inflamación: La inflamación es un componente clave de la patología de la EM. Algunos estudios sugieren que la TOHB podría tener propiedades antiinflamatorias y ayudar a reducir la inflamación.

  3. Promoción de la reparación celular: Se ha hipotetizado que la TOHB puede estimular la producción de factores de crecimiento y promover la reparación de las células dañadas en el sistema nervioso central.

  4. Alivio de los síntomas: Algunas personas con EM informan mejoras en los síntomas, como fatiga, debilidad muscular y problemas de equilibrio, después de recibir TOHB.

  5. Calidad de vida: Si bien la TOHB no es una cura para la EM, algunas personas encuentran que mejora su calidad de vida y bienestar general.

LA TERAPIA HIPERBARICA PARA AYUDAR CON LOS SINTOMAS DE LA ESCLEROSIS MULTIPLE (CORTO Y LARGO PLAZO)

 La esclerosis múltiple (EM) es una enfermedad crónica degenerativa que afecta al sistema nervioso, caracterizada por múltiples áreas de esclerosis reactiva o gliosis. El diagnóstico generalmente requiere evidencia clínica de múltiples lesiones que se diseminan con el tiempo. La enfermedad se caracteriza por episodios intermitentes que pueden causar daños permanentes, especialmente en las vainas de mielina, con síntomas residuales y retrasos en la conducción evidentes en estudios de imagen como la resonancia magnética (RM).

Desde el punto de vista fisiopatológico, la EM implica lesiones discretas en la sustancia blanca del cerebro y la médula espinal, a menudo resultantes de hipoxia e inflamación. A pesar del énfasis en las teorías autoinmunes, no se ha identificado ningún antígeno definitivo, lo que sugiere que la respuesta inmune puede ser secundaria. Las investigaciones han indicado que la disfunción vascular y los eventos micro embólicos pueden desempeñar un papel significativo en la EM, coincidiendo con la disrupción de la barrera hematoencefálica observada durante los ataques.

Una opción de tratamiento para la EM es la terapia de oxígeno hiperbárico (OHB), que aumenta los niveles de oxígeno en los tejidos, promoviendo la reparación celular y reduciendo potencialmente el edema focal y la inflamación. Los estudios han demostrado que la OHB puede mejorar los síntomas y reducir la gravedad de los ataques. Aunque no es universalmente aceptada, algunos ensayos han mostrado beneficios, especialmente con un tratamiento OHB constante a largo plazo. Es importante llevar acabo la terapia con tu tratamiento convencional

Protocolos de OHB:

  • Los protocolos iniciales suelen implicar sesiones diarias de OHB a 2.0 ATA (atmósferas absolutas) durante 30 a 90 minutos durante 20 días.
  • Para el manejo a largo plazo, los pacientes pueden continuar con sesiones semanales a 1.75 ATA durante una hora. Si no se observa respuesta a estas presiones, se aumenta gradualmente la presión, para mantener la mejoría.
  • Los regímenes de mantenimiento prolongado incluyen dos sesiones cada 20 días o hasta 500 sesiones en una década (por ejemplo, tratamientos semanales).
  • Se reportan mejores resultados en pacientes que reciben tratamiento OHB consistente a largo plazo.
  • Es importante empezar la terapia cuando el diagnóstico usando la escala de Kurtzke sea menor de 3, para mejores resultados.

Los ensayos clínicos han mostrado mejoras en la movilidad, la función neurologica, la fatiga, vejiga y otros síntomas, especialmente en pacientes con la enfermedad menos avanzada. Los seguimientos a largo plazo sugieren que las sesiones regulares de OHB pueden estabilizar la enfermedad y ralentizar su progresión. La evidencia más reciente apoya el papel de la OHB en el manejo de los síntomas de la EM, especialmente en combinación con otros tratamientos. La terapia es rentable y tiene efectos secundarios mínimos, lo que la convierte en una opción viable para el manejo a largo plazo.

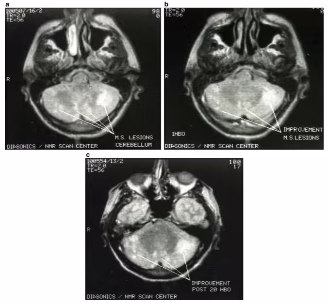
(a) Imagen de resonancia magnética de un paciente de 58 años con esclerosis múltiple y ataxia cerebelosa antes del tratamiento de OHB, mostrando una lesión edematosa. (b) Imagen después de 1 sesión de OHB, mostrando mejoría. (c) Imagen después de 20 sesiones de OHB, mostrando reducción del edema. El paciente mostró una marcada mejoría clínica. (Cortesía del fallecido Dr. Richard A. Neubauer)

CÓMO SIRVE LA TERAPIA EN CÁMARA HIPERBÁRICA
PARA ESCLEROSIS MULTIPLE o EM

Mas detallado con estudios de soporte usando presiones arriba de 2.0 ATA
Investigaciónes y Fuentes

Undersea and Hyperbaric Medical Society. (2021). Indications for Hyperbaric Oxygen Therapy. Retrieved from https://www.uhms.org/resources/hbo-indications.html

Liceaga, D. E. (2014). GUÍAS CLÍNICAS DE DIAGNÓSTICO Y TRATAMIENTO DEL SERVICIO DE CÁMARA HIPERBÁRICA. Ciudad de Mexico: Hospital General de Mexico.

Kewal K. Jain, M. (2017). Textbook of Hyperbaric Medicine. Basel , Switzerland: Springer International Publishing.

Thom, N. &. (2008). Physiology and Medicine of Hyperbaric Oxygen Therapy. Philadelphia: Saunders (Elsevier).

Multiple Sclerosis
131. Fischer BH, Marks M, Reigh T. Hyperbaric oxygen treatment of multiple sclerosis: A randomized, placebo
controlled, double-blind study. New Engl J Med. 1983;308:181-186.
132. Wood J, Stell R, Unsworth I, Lance J, Skuse N. A double-blind trial of hyperbaric oxygen in the treatment of
multiple sclerosis. Medical Journal of Australia. 1985;143:238-241.
133. Erwin CW, Massey EW, Brendle AC. Hyperbaric oxygen influences on the visual evoked potentials in multiple
sclerosis patients. Neurology. 1985;35(suppl 1):104.
134. Barnes MP, Cartlidge NEF, Bates D, French JM, Shaw DA. Hyperbaric oxygen and multiple sclerosis: Short-term
results of a placebo-controlled, double-blind trial. Lancet. 1985;1:297-300.
135. Murthy KN, Maurice PB, Wilmeth JB. Double-blind randomized study of hyperbaric oxygen (HBO) versus
placebo in multiple sclerosis (MS). Neurology. 1985;35(Suppl):104.
136. Nieman J, Nilsson B, Barr P, Perrins D. Hyperbaric oxygen in chronic progressive multiple sclerosis: visual evoked
potentials and clinical effects. Journal of Neurology, Neurosurgery and Psychiatry. 1985;48:497-500.
137. Slater GE, Anderson DA, Sherman R, Ettinger MG, Haglin J, Hitchcock C. Hyperbaric oxygen and multiple
sclerosis: a double-blind, controlled study. Neurology. 1985;35(Suppl 1):315.
138. Wiles CM, Clarke CRA, Irwin HP, Edgar EF, Swan AV. Hyperbaric oxygen in multiple sclerosis: A double blind
trial. Br Med J. 1986;292(6517):367-371.
139. Confavreux C, Mathieu C, Chacornac R, Aimard G, Devic M. Hyperbaric oxygen in multiple sclerosis. A doubleblind randomised placebo-controlled study. La Presse Medicale. 1986;15:1319-1322.
140. L’Hermitte F, Roullet E, Lyon-Caen O, et al. Hyperbaric oxygen treatment of chronic multiple sclerosis. Results of a
placebo-controlled, double-blind study in 49 patients. Revue de Neurologie. 1986;142:201-206.
141. Harpur GD, Suke R, Bass BH. Hyperbaric oxygen therapy in chronic stable multiple sclerosis: double-blind study.
Neurology. 1986;36:988-991.
142. Barnes MP, Bates D, Cartlidge NEF, French JM, Shaw DA. Hyperbaric oxygen and multiple sclerosis: Final results
of a placebo-controlled, double-blind trial. J Neurol Neurosurg Psychiatry. 1987;50:1402-1406.
143. Worthington JA, DeSouza LH, Forti A. A double-blind controlled cross-over trial investigating the efficacy of
hyperbaric oxygen in patients with multiple sclerosis. In: Rose FS, Jones R, eds. Multiple Sclerosis: Immunological,
Diagnostic and Therapeutic Aspects. London: John Libbey Publications;1987.
144. Hart G, Rowe MJ, Myers LW. A controlled study of hyperbaric oxygen treatment in multiple sclerosis. J Hyperbaric
Med. 1987;2(1):1-5.
145. Massey EW, Shelton DL, Greenberg J, Wewin W, Saltzman H, Bennett PB. Hyperbaric oxygen in multiple sclerosis:
Double blind crossover study of 18 patients. Neurology. 1985;35(Suppl. 1):104. (Also in: Bove AA, Bachrach
AJ, Greenbaum LJ, Jr., eds. 9th International Symposium on Underwater and Hyperbaric Physiology. Bethesda,
Maryland: Undersea and Hyperbaric Medical Society;1987. Pp:859-857.)
146. Oriani G, Barbieri S, Cislaghi G. Long-term hyperbaric oxygen in multiple sclerosis: A placebo-controlled, doubleblind trial with evoked potentials studies. J Hyperbaric Med. 1990;5(4):237-245.
Copyright © 2019 Undersea and Hyperbaric Medical Society, Inc.
147. Oriani G, Magni R, Musini A, Meazza D, Brancato R. A new electrophysiological test to assess ophthalmological
benefits of hyperbaric therapy. Proceedings of the 10th International Congress on Hyperbaric Medicine, Amsterdam.
Best Publishing, Flagstaff, Arizona; 1992.Pp:104-109.
148. Bennett MH, Heard R. Hyperbaric oxygen therapy for multiple sclerosis. Cochrane Database of Systematic Reviews
2004, Issue 1. Art. No.: CD003057